Notre galerie avant / après

Chaque cas est particulier mais reconstruire votre sourire reste notre priorité.
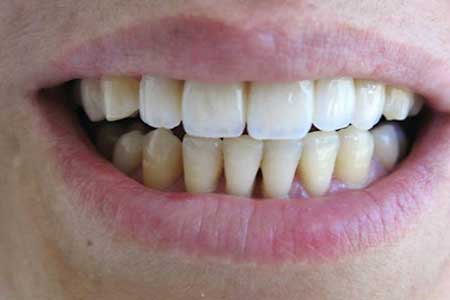
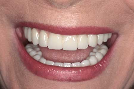
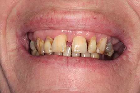
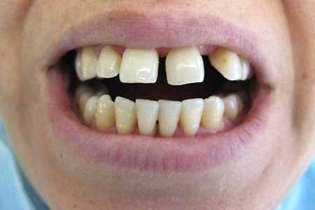
Avant Après
Avant Après
Avant Après
Avant Après
Avant Après
Avant Après
Avant Après
Avant Après
Avant Après
Avant Après
Avant Après
Avant Après
Avant Après
Avant Après
Avant Après
Avant Après
Avant Après
Avant Après
Retour en haut